Specialized experience in pediatric orthopedics
. Surgical treatments for scoliosis (scoliosis)
Scoliosis is a common problem in children and adolescents. Fortunately, surgical intervention is rarely necessary. One of the means of effective control of this disease is strengthening and physiotherapy. We offer thoracic, lumbar and sacral (TLSO) splint and immobilizer, rego chino belt and exercise physiotherapy specifically for the treatment of scoliosis. In severe cases, we resort to surgical options that correct the scoliosis while preserving the mobility of the spine.
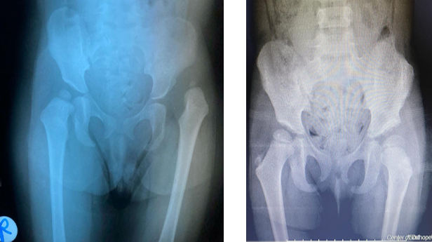
Hip dysplasia in children and adolescents
If a baby is born in a breech position, a pediatrician can detect or diagnose hip dysplasia with ultrasound. Our team treats children with this disorder by non-surgical means, in addition to surgical procedures if necessary.
Musculoskeletal injuries in children
Children usually have bone fractures. If these fractures affect the growth plates of the bone, the affected child must receive special care to ensure that growth does not stop. Our team members also have specialized expertise to provide care for sports injuries, sprains, joint dislocations and growth plate fractures in child athletes.
The care provided by our team does not stop at treating injuries as they occur, but continues until the injured child recovers and resumes his sports activity.
Cerebral Palsy
Children with cerebral palsy receive the necessary care under the supervision of a team of doctors, including experts in physical therapy, rehabilitation, neurosurgery and pediatric orthopedics. This interdisciplinary collaboration ensures that the right surgery is performed at the right time, and that effective care is customized to meet your child's needs.
clubfoot
Clubfoot can now be diagnosed by ultrasound before the baby is born. We specialize in providing prenatal consultations and non-surgical treatments. We also have experts in the Ponseti method for clubfoot (clubfoot) abnormalities.
Head over to the Mayo Clinic pediatric orthopedic department for your child's needs.